Проснувшись однажды утром после беспокойного сна, Грегор Замза обнаружил, что он у себя в постели превратился в страшное насекомое.
*Lorem ipsum dolor sit amet, consectetur adipiscing elit. Ut elit tellus, luctus nec.
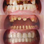
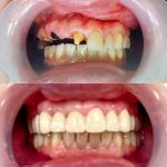
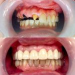
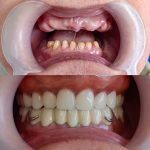
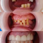
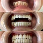
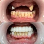
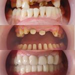
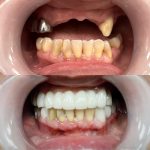
Многопрофильный медицинский центр «Жуйкан» в городе Хэйхэ Китайской Народной Республики рад предложить Вам стоматологические услуги по лечению и протезированию зубов любой сложности!